Assista ao vídeo e entenda como garantir sua vaga com o maior desconto já oferecido nas nossas pós-graduações nesta Black Friday.

Sistema de formação para Pós-Graduação em Patologia Oral e Maxilofacial

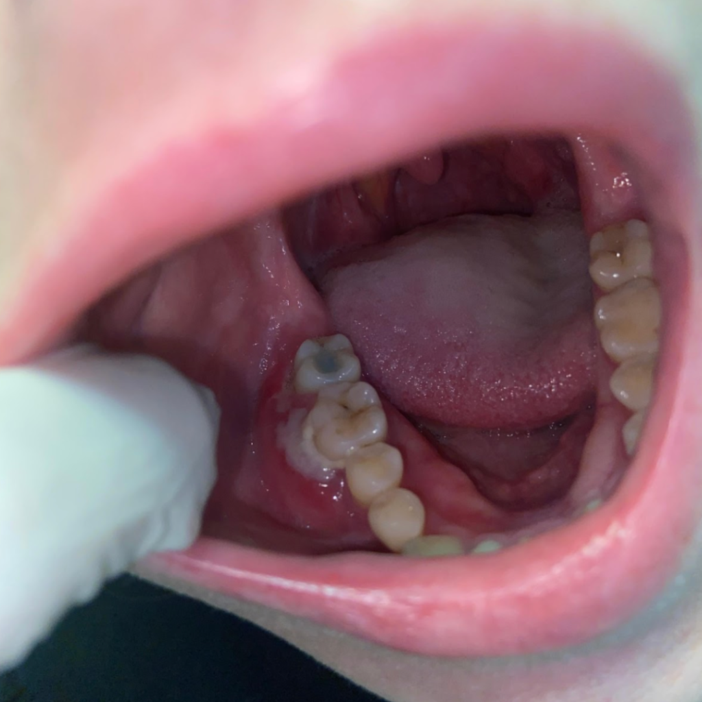
Eu duvido você ver essa história e não entender a importância da patologia.

Há cerca de um ano, atendi uma paciente chamada Jennifer, que chegou ao hospital com dor e aumento de volume no corpo mandibular direito. Antes disso, ela já havia passado por um dentista, que suspeitou de um problema endodôntico e realizou abertura coronária, mas sem sucesso. Com a persistência da dor, surgiram fisgadas e o caso foi encaminhado ao neurologista, que prescreveu gabapentina. Mesmo assim, o quadro só piorava, e foi nesse ponto que ela chegou até mim.

Durante a anamnese, Jennifer relatou um sintoma que acendeu meu alerta: dormência facial. A descrição era semelhante à sensação de uma anestesia local, o que me levou a suspeitar de uma lesão maligna. Expliquei a gravidade com cuidado e solicitei exames complementares. Na cirurgia, o aspecto do tecido já indicava algo mais sério. A biópsia confirmou: linfoma. O diagnóstico foi um choque, pois Jennifer era jovem, com apenas 30 anos, cheia de planos e força. Mesmo assim, ela me disse, com serenidade: “Eu só quero saber o que eu tenho. Não aguento mais passar de um profissional pro outro sem uma resposta.”

O PET-CT revelou metástases, inclusive atrás do olho, pressionando o nervo óptico. Em poucas semanas, a doença havia se espalhado. Felizmente, conseguimos fechar o diagnóstico a tempo, o que permitiu iniciar a quimioterapia de forma precoce, sem necessidade de cirurgia. Hoje, Jennifer está curada, com qualidade de vida, e esse caso sempre me lembra da importância de escutar com atenção, investigar a fundo e nunca minimizar um sintoma.

Base de formação anatômica para a Pós-Graduação em Anatomia de Cabeça e Pescoço.

Ele teve seu rosto reconstruído após sofrer com uma explosão de cilindro graças ao meu conhecimento em anatomia.

Esse paciente da foto é o Volnei. Ele chegou em estado gravíssimo após a explosão de um cilindro na face, que fraturou todos os ossos da região. Naquela madrugada fui chamado com urgência para operar e passei até às duas da manhã reconstruindo o rosto dele. Depois da cirurgia, o Volnei ainda precisou de dias na UTI para se recuperar.

Algum tempo depois, tive a oportunidade de reencontrá-lo. Ao olhar para ele, percebi que estava plenamente recuperado, com o rosto idêntico ao que tinha antes do acidente. Naquele momento, entendi o verdadeiro impacto do meu trabalho: devolver a ele a própria identidade, a capacidade de se olhar no espelho e se reconhecer novamente.

Nossas pós-graduações são reconhecidas pelo MEC:

Pós-graduação em Patologia Oral e Maxilofacial

Nossa pós-graduação é reconhecida pelo MEC.

Pós-graduação em Anatomia de Cabeça e Pescoço

Nossa pós-graduação é reconhecida pelo MEC.

Quem é o Dr. João Pedro Silveira?

Cirurgião Bucomaxilofacial - CRO-RS: 25712

Meu nome é João Pedro Silveira, sou formado pela Universidade Federal de Santa Maria e especialista em Cirurgia Bucomaxilofacial pela residência do Hospital Cristo Redentor, do Grupo Hospitalar Conceição, em Porto Alegre.

Atualmente, atuo nos dois maiores hospitais de Caxias do Sul, realizando cirurgias de deformidades faciais e atendimentos de urgência em traumas de face. Também sou concursado pela Prefeitura de Caxias do Sul.

Ainda na graduação, percebi o quanto um conhecimento profundo em odontologia é essencial para oferecer um atendimento clínico completo para todos os pacientes que chegam até nós diariamente. 

Hoje, além da atuação clínica, sou professor em um dos maiores preparatórios de residência em Odontologia do Brasil e idealizador da nossa Pós-Graduação em Patologia Oral e Maxilofacial e da nossa Pós-Graduação em Anatomia de Cabeça e Pescoço, cursos pensados para o dentista que atua na clínica, que busca segurança para realizar todo o tipo de procedimento e que deseja fazer a diferença na vida dos seus pacientes